Dental Implants: Case 4

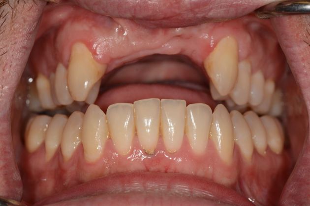
Dental Implants: Case 4 - Before
Before
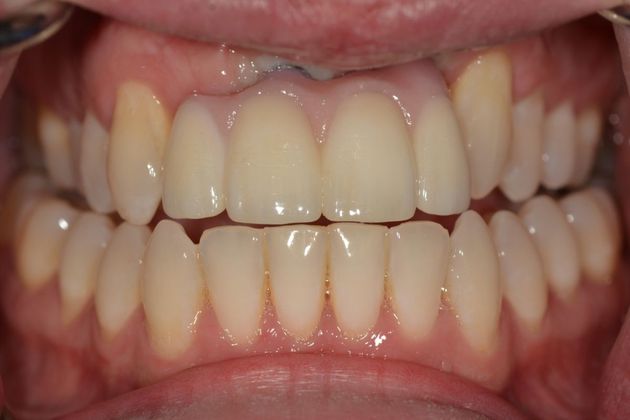
Dental Implants: Case 4 - After
After
Dental Implants: Case 4 - Before
Before
Dental Implants: Case 4 - After
After

Description

Upper anterior Implants

Patient Profile

Gender
Male
Dr. Edward Narcisi, DMD

Edward Narcisi, DMD

Dr. Narcisi is devoted to helping patients achieve stunning, healthy smiles through comprehensive dental care. He is a member of many prestigious associations, including: 

  • American Dental Association
  • Pennsylvania Dental Association
  • American Academy of Cosmetic Dentistry 
  • Academy of Osseointegration 

To schedule a consultation at the Center for Dental Excellence, request an appointment online or call us at (412) 373-9447.

Contact Us Today

Rate, Review & Explore

Social Accounts Sprite