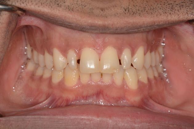
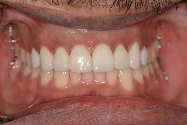
Cosmetic Dentistry: Case 1
Description
Patient Profile
- Age
- 32
- Gender
- Male
Dr. Narcisi is devoted to helping patients achieve stunning, healthy smiles through comprehensive dental care. He is a member of many prestigious associations, including:
To schedule a consultation at the Center for Dental Excellence, request an appointment online or call us at (412) 373-9447.
